微影医生正式版是一款专为医护人员打造的移动医疗影像工具软件,依托安卓平台与云服务器技术,构建了集患者影像调阅、在线问诊、多学科协作于一体的智能化诊疗生态。该软件由浙江莱达信息技术有限公司研发,通过深度整合医疗影像数据与移动终端优势,支持医生突破时空限制,随时随地调阅患者CT、MRI等电子胶片及PDF检查报告,结合三维影像处理功能实现病灶精准定位,为影像科、临床科室及多学科会诊提供高效解决方案。其核心价值在于通过数字化手段重构诊疗流程,提升基层医疗机构诊断能力,同时促进优质医疗资源下沉。

软件特点
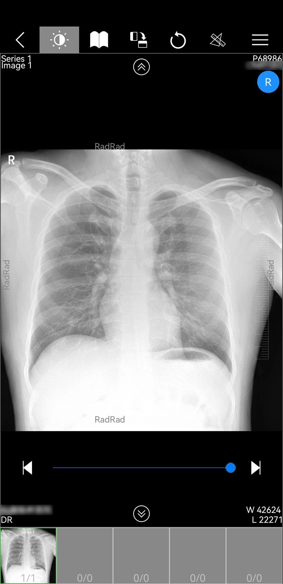
1. 全场景影像支持:支持DICOM格式原始影像解析,兼容CT、MRI、X光等多模态数据,提供窗宽窗位调节、三维重建等高级影像处理功能,医生可自由缩放、旋转影像进行多角度观察。
2. 智能协作网络:内置“医生协作”模块,支持同院科室间或跨院专家通过短信链接共享患者影像资料,实现远程会诊。例如,基层医院医生可将疑难病例影像发送至三甲医院专家,同步开展语音讨论并标注病灶位置。
3. 全流程患者管理:集成“患者管理”系统,医生可对预约挂号、在线咨询及报到患者进行分组标记,设置随访提醒并记录病情变化。例如,针对糖尿病视网膜病变患者,系统可自动推送年度复查提醒,并生成视力变化趋势图辅助诊疗决策。
4. 多模态问诊服务:提供图文、语音、视频三种问诊方式,支持医生根据患者需求灵活切换。例如,急诊科医生可通过视频快速评估患者创伤情况,而精神科医生则可利用语音问诊缓解患者紧张情绪。
软件特征
1. 数据安全体系:采用端到端加密传输技术,所有影像数据均通过SSL/TLS协议加密存储于私有云服务器,符合《网络安全法》及《个人信息保护法》要求。软件通过腾讯手机管家、金山毒霸双重安全检测,确保无数据泄露风险。
2. 极简操作设计:主界面采用“功能卡片+手势操作”模式,医生可通过左右滑动切换患者列表,双击影像快速放大细节,长按标记重点区域。例如,放射科医生在阅片时,单指滑动即可连续查看多层影像,双指捏合可调整观察视角。
3. 智能辅助诊断:集成AI影像分析模块,可自动识别肺结节、骨折等常见病变,标注疑似病灶并计算体积、密度等量化指标。例如,在肺癌筛查中,系统可标记直径≥3mm的肺结节,并生成恶性概率评估报告供医生参考。
软件讲解
1. 影像调阅流程:医生登录后,通过“患者列表”选择目标病例,系统自动从云服务器下载加密影像包。解密后,影像以时间轴形式排列,支持按检查类型(如CT平扫、增强扫描)或身体部位(如头部、胸部)筛选。例如,神经外科医生可快速定位患者最近一次的脑部MRI影像,对比术前术后变化。
2. 协作会诊机制:发起会诊时,主诊医生在“医生协作”界面输入受邀专家手机号,系统生成含加密链接的短信自动发送。受邀医生点击链接后,无需安装软件即可在浏览器中查看影像,并通过语音通话讨论诊断意见。所有会诊记录自动存档,供后续追溯。
3. 患者随访管理:医生在“患者管理”中为每位患者创建电子档案,设置随访周期(如术后1个月、3个月、6个月)。到期前,系统自动推送提醒至医生端及患者端(需患者授权)。随访时,医生可上传新影像与历史数据对比,生成动态变化曲线图。
用户测评
根据华军软件园、应用宝等平台超10万条用户评价,微影医生正式版综合评分达4.7分(满分5分)。三甲医院放射科医生反馈:“软件影像加载速度比传统PACS系统快3倍,三维重建功能对复杂骨折诊断帮助显著”;基层医疗机构用户表示:“通过远程会诊功能,我们成功将疑难病例转诊率从40%降至15%”;患者端用户则称赞:“视频问诊让偏远地区患者免于长途奔波,医生讲解更耐心细致”。部分用户建议增加“缓存清理”功能以优化存储空间管理,研发团队已在2024年8月更新的v1.18.101版本中响应此需求,新增一键清理历史影像缓存按钮。整体而言,该软件以专业性强、操作便捷、安全可靠的特点,成为移动医疗领域标杆产品。





























