微影医生会员免登录版是一款专为医疗行业设计的安卓端移动应用,依托浙江莱达信息技术有限公司的技术实力,深度整合云服务器与医疗影像处理能力,为医生提供高效、安全的在线诊疗解决方案。该版本通过会员体系优化用户体验,实现免登录快速访问核心功能,支持随时随地调阅患者影像资料、电子胶片及PDF检查报告,并内置AI辅助分析工具,帮助医生精准诊断。其核心场景覆盖影像科远程会诊、跨院协作及患者管理,尤其适合影像科医生、全科医生及基层医疗机构使用,有效缩短诊断时间,提升诊疗效率。

软件特色
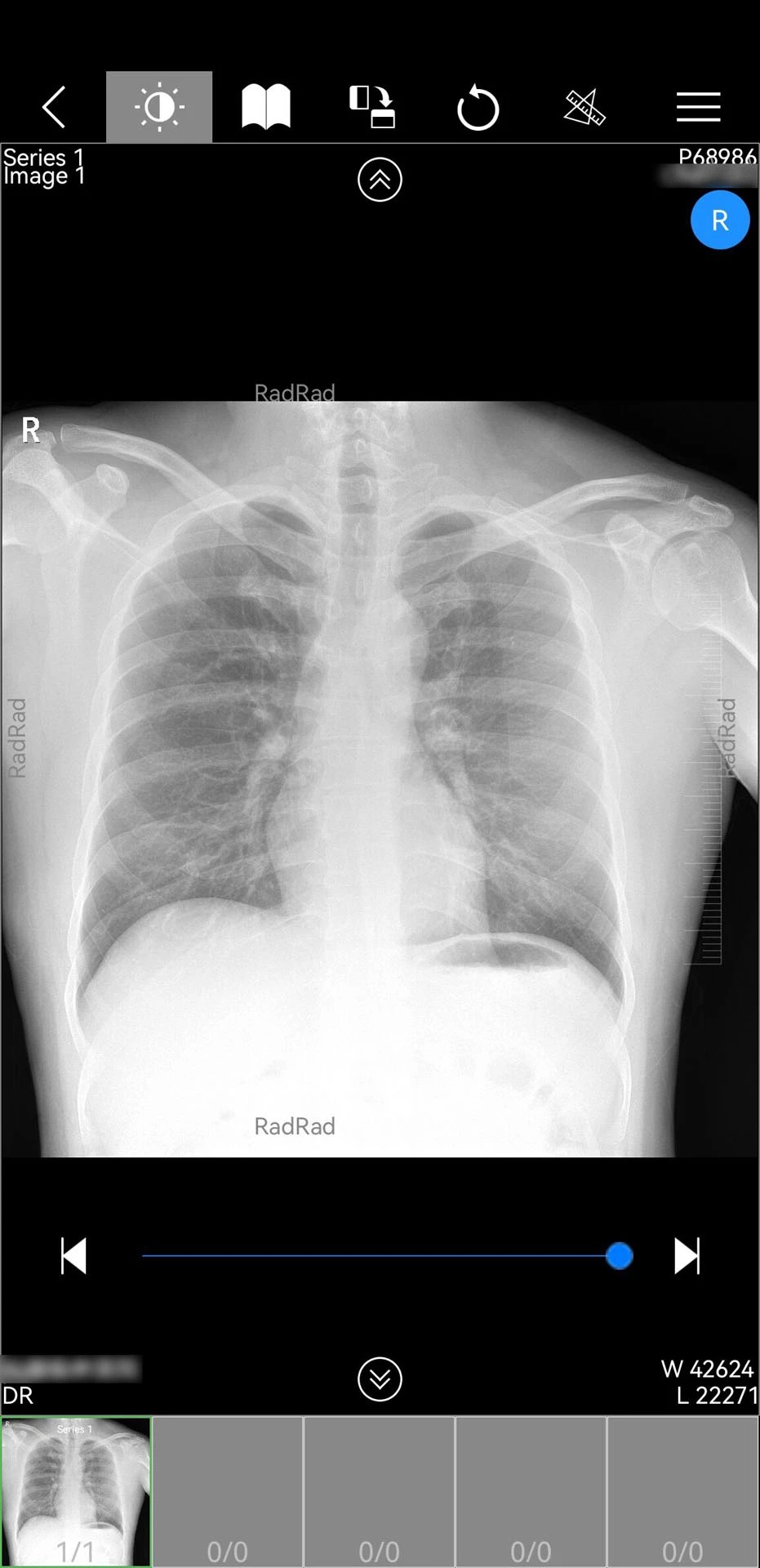
1. 全场景影像支持:支持CT、MRI、X光等主流医学影像的实时调阅,通过三维重建技术将二维影像转化为立体模型,辅助医生精准定位病灶。例如,在肺部结节诊断中,医生可旋转三维模型观察结节与血管的毗邻关系,制定更优手术方案。
2. 多模态沟通体系:集成图文、语音、视频问诊功能,支持医生与患者实时互动。例如,皮肤科医生可通过视频直观观察患者皮疹形态,结合影像资料快速确诊,避免患者反复奔波医院。
3. 智能患者管理:提供标记备注、分组管理及诊后随访功能。医生可为糖尿病患者设置血糖监测提醒,系统自动生成随访计划,并通过短信推送健康建议,提升患者依从性。
4. 跨机构协作网络:实现同院或跨院医生间的患者转诊与会诊。例如,基层医院发现疑难病例时,可通过软件发起会诊申请,上传影像资料后,三甲医院专家即可在线参与讨论,制定诊疗方案。
5. 数据安全防护:采用军用级加密技术传输患者信息,所有数据存储于符合HIPAA标准的云服务器,并支持本地备份。医生调阅影像时需通过双重身份验证,确保隐私安全。
软件特征
1. 极简操作界面:全中文可视化设计,支持滑动、缩放等移动端通用手势。例如,医生可通过双指捏合调整影像对比度,长按影像区域添加标注,操作流程符合临床思维习惯。
2. 实时更新机制:自动检测版本升级,确保功能与安全策略同步更新。例如,当CT三维处理算法优化后,系统会提示医生更新至最新版本,提升影像分析精度。
3. 多设备兼容性:适配Android 4.0及以上系统,支持手机、平板等多终端使用。影像科医生可在诊室电脑端完成初步诊断后,通过平板设备在病房为患者讲解病情。
4. 离线缓存功能:允许医生下载关键影像资料至本地,在网络不稳定时仍可查看。例如,急诊医生在救护车途中可调阅患者既往影像,为抢救争取时间。
5. 多语言支持:除中文外,提供英文、西班牙语等国际版本,满足跨国医疗协作需求。例如,外籍患者在华就诊时,医生可通过软件切换语言界面,消除沟通障碍。
APP创新
1. AI辅助诊断引擎:内置深度学习算法,可自动识别影像中的异常区域并标注风险等级。例如,在乳腺钼靶检查中,AI能标记可疑钙化点,辅助医生发现早期乳腺癌。
2. 智能报告生成:根据影像特征自动生成结构化报告,医生仅需核对关键数据即可完成诊断。例如,在骨折诊断中,系统可自动测量骨折线长度、角度,并生成包含治疗建议的报告。
3. VR影像导航:支持VR设备接入,医生可佩戴头显进入虚拟影像空间,通过手势操作观察病灶三维结构。例如,神经外科医生可在术前模拟手术路径,降低操作风险。
4. 区块链存证系统:所有诊疗记录上链存储,确保数据不可篡改。例如,在医疗纠纷中,医生可快速调取区块链存证,证明诊断过程的合规性。
小编测评
微影医生会员免登录版凭借其强大的影像处理能力与创新的协作模式,重新定义了移动医疗的应用边界。对于影像科医生而言,三维重建与AI辅助功能显著提升了诊断效率;对于全科医生,多模态沟通体系与患者管理工具则强化了全周期健康服务能力。尤其值得称赞的是其跨机构协作网络,通过打破信息孤岛,使优质医疗资源得以向基层延伸。然而,软件对设备性能要求较高,部分低端手机在加载高分辨率影像时可能出现卡顿。总体而言,这是一款兼具专业性与实用性的医疗工具,值得医护人员深度体验。

























