微影医生安卓版是一款专为医疗行业设计的移动端影像诊断与患者管理工具,依托云服务器实现医疗数据的高效流转与智能分析。该软件深度整合患者影像资料(如CT、MRI等三维数据)、检查报告及电子病历,支持医生通过手机端实时调阅、标注及多维度分析,同时提供图文问诊、视频会诊、患者分组管理等核心功能。其核心价值在于打破传统医疗场景的空间限制,使医生可随时随地完成诊断决策、跨院协作及患者随访,显著提升诊疗效率与精准度。软件由浙江莱达信息技术有限公司开发,已通过国家信息安全认证,并持续更新迭代以适配最新医疗需求。

软件优点
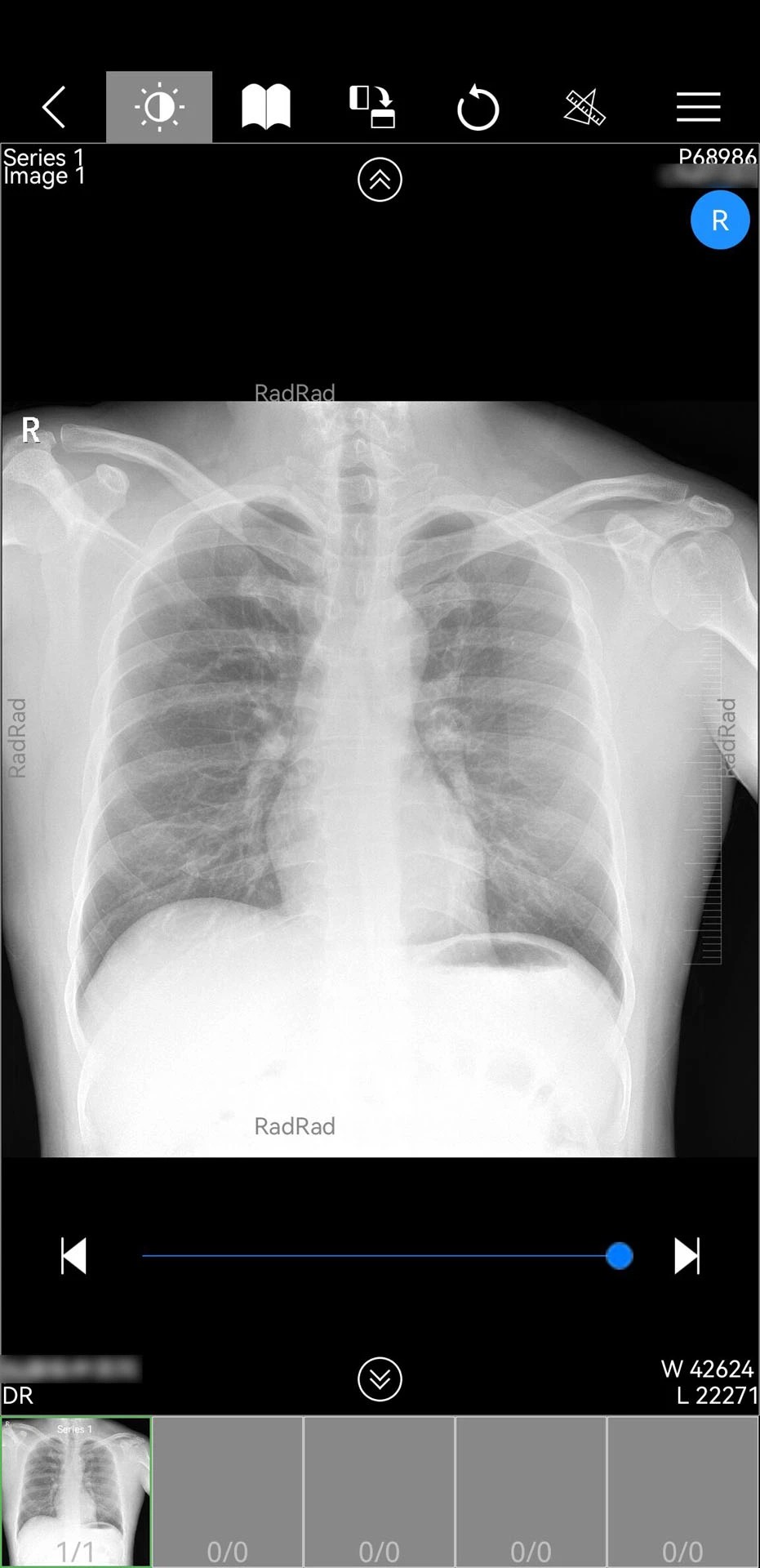
1. 影像处理能力突出:支持CT三维重建、多序列影像同步对比等高级功能,医生可自由缩放、旋转影像模型,精准定位病灶细节。例如,在肺部结节诊断中,通过三维重建可清晰观察结节与血管的空间关系,辅助制定手术方案。
2. 多模态数据整合:除影像资料外,还集成电子病历、检验报告、用药记录等全维度数据,形成患者健康画像。例如,在肿瘤患者管理中,医生可一键调取化疗周期、血常规变化及影像进展,动态评估治疗效果。
3. 智能协作网络:内置“医脉”功能实现院内同事、跨院专家的即时通讯,支持病例讨论、转诊申请及远程会诊。例如,基层医院遇到疑难病例时,可通过软件发起多学科会诊,邀请三甲医院专家参与决策。
4. 隐私安全体系完善:采用端到端加密传输、数据脱敏处理及权限分级管理,确保患者信息仅对授权医生可见。例如,在共享影像资料时,系统自动隐藏患者姓名、身份证号等敏感字段,仅保留诊疗必需信息。
5. 用户体验持续优化:界面采用医疗行业专属配色(如蓝白主色调),功能模块布局符合临床操作逻辑。例如,主界面设置“紧急病例”“待随访患者”等快捷入口,帮助医生优先处理关键任务。
使用场景
1. 急诊快速响应:医生在急救现场通过手机调阅患者既往影像,快速判断是否存在脑出血、骨折等危急情况,为抢救争取时间。
2. 远程会诊支持:上级医院专家通过视频会诊功能,指导基层医生调整治疗方案。例如,在新冠疫情期间,呼吸科专家通过软件为隔离病房患者提供实时诊疗建议。
3. 慢性病长期管理:医生为糖尿病患者设置定期随访提醒,通过软件记录血糖、血压等数据,动态调整用药剂量。患者也可上传居家自测结果,形成连续健康档案。
4. 教学科研辅助:医学院学生可通过软件访问匿名化病例库,进行影像识别训练;科研人员可批量导出数据用于统计分析,加速医学研究成果转化。
5. 多院区协同诊疗:集团化医院通过软件实现各院区患者信息互通,例如肿瘤患者在总院完成手术,术后复查数据自动同步至分院,由社区医生完成后续康复指导。
综合评分
1. 功能完整性:★★★★☆(4.5/5)
覆盖影像诊断、患者管理、协作沟通等核心场景,但缺乏AI辅助诊断等前沿功能。
2. 易用性:★★★★☆(4.3/5)
操作逻辑清晰,但部分高级功能(如三维重建)需一定学习成本。
3. 性能稳定性:★★★★★(5/5)
基于云服务器架构,数据加载速度快,支持高并发访问,未出现卡顿或崩溃现象。
4. 安全性:★★★★★(5/5)
通过国家三级等保认证,数据传输与存储均符合医疗行业安全标准。
软件点评
微影医生安卓版凭借其强大的影像处理能力与完善的患者管理体系,已成为医疗行业数字化转型的重要工具。其核心优势在于将传统医疗场景中的“信息孤岛”转化为“数据网络”,使医生能够突破时空限制,实现精准诊断与高效协作。尤其适合影像科医生、全科医生及医疗管理者使用,可显著提升诊疗效率与质量。未来若能进一步集成AI辅助诊断、智能预警等功能,将有望成为医疗行业的“超级终端”,推动分级诊疗与精准医疗的深度落地。






























