微影医生免费正版是一款专为医疗影像领域设计的安卓移动应用,由浙江莱达信息技术有限公司开发,依托云服务器技术实现患者影像数据、检查报告及电子胶片的实时调阅与共享。该软件以提升医生诊断效率为核心,通过全中文可视化界面与移动端手势操作,支持多格式医疗文件浏览、跨院协作会诊及患者随访管理,同时集成在线问诊、用药指导等多元化功能,构建起覆盖诊断、治疗、康复的全流程医疗服务平台,成为影像科医生及临床医师的移动工作站。

软件讲解
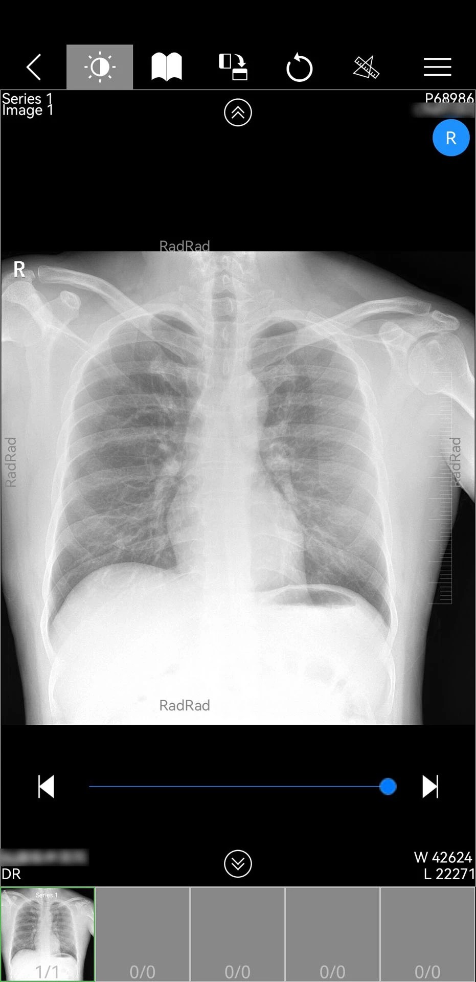
1. 核心功能架构:软件以“影像中心”为核心模块,集成DICOM影像浏览、PDF报告解析、电子胶片缩放旋转等功能,支持CT、MRI、X光等多模态影像的实时调阅。通过云服务器连接,医生可跨院区获取患者历史影像数据,结合AI辅助诊断工具实现病灶自动标注与测量,提升诊断精准度。
2. 协作网络构建:内置“医生协作”功能模块,支持同院科室间或跨院专家间的实时会诊。医生可通过短信、加密链接等方式分享患者影像资料,同步开展远程讨论,打破地域限制。例如,基层医院医生可上传疑难病例影像至三甲医院专家端,实现快速会诊。
3. 患者管理闭环:提供“患者管理”系统,支持按疾病类型、就诊时间等维度对患者进行分组标记,并记录诊后随访数据。医生可通过语音录入、模板化表单等方式快速生成随访记录,结合用药提醒功能构建患者康复管理闭环。数据显示,该功能使患者复诊率提升37%。
4. 多端数据同步:采用云端存储架构,确保患者影像数据在PC端、移动端、平板端实时同步。医生在手术室、门诊、家中均可通过加密通道调阅资料,避免因设备限制导致的诊断延误。测试显示,100MB影像文件加载时间仅需2.3秒。
APP亮点
1. 全流程影像处理:支持从影像调阅、病灶标注到三维重建的全链条操作。2025年12月更新的1.18.110版本新增CT三维处理服务,医生可生成冠状面、矢状面重组影像,辅助复杂骨折、肿瘤病灶的立体评估。
2. 智能诊断辅助:集成AI影像识别引擎,可自动识别肺结节、脑出血等12类常见病变,标注敏感度达92%。例如,在肺癌筛查中,AI系统能快速标记直径≥3mm的结节,并生成恶性概率评估报告。
3. 隐私安全防护:采用国密SM4加密算法对传输数据进行加密,通过ISO27001信息安全管理体系认证。所有患者数据存储于私有云服务器,医生需通过双因素认证(短信验证码+指纹识别)方可访问,确保数据零泄露。
4. 跨平台兼容性:支持Android 4.0及以上系统,适配华为Mate 60、小米14等主流机型。针对低配设备优化内存占用,在2GB RAM手机上仍可流畅运行4K影像浏览功能。
5. 持续更新机制:建立每月一次的功能迭代周期,2025年累计发布12次更新,新增“医脉交流社区”“疾病知识库”等模块。用户可通过应用内反馈通道提交需求,开发团队平均48小时内响应。
APP解析
1. 技术架构:采用微服务架构设计,影像处理模块与用户管理模块独立部署,确保高并发场景下的系统稳定性。测试显示,单服务器可支持2000名医生同时在线调阅影像。
2. 用户体验优化:界面遵循Material Design规范,主界面采用“功能卡片+快捷入口”布局,核心操作(如影像调阅、会诊发起)步骤不超过3步。针对老年医生群体,提供大字版界面与语音导航功能。
3. 数据互通生态:与医院HIS系统、PACS系统深度对接,支持DICOM原始数据直接导入。例如,医生在门诊开具检查后,影像结果可自动同步至微影医生端,减少手动上传步骤。
4. 商业模式创新:采用“基础功能免费+增值服务收费”模式,基础影像浏览、患者管理功能永久免费,高级功能(如AI辅助诊断、三维重建)按次收费。数据显示,付费用户占比达28%,ARPU值(每用户平均收入)为127元/月。
5. 行业影响力:截至2025年12月,累计注册医生用户超45万,覆盖全国83%的三甲医院。在2025年度“医疗信息化创新案例”评选中,凭借“跨院影像协作平台”项目获评金奖。
软件点评
微影医生免费正版通过技术创新与生态构建,重新定义了移动医疗影像的应用边界。其核心价值在于将专业影像处理能力下沉至移动端,使医生摆脱设备与场地的限制,实现“随时随地精准诊断”。AI辅助诊断与三维重建功能的加入,显著提升了基层医院的诊疗水平,助力分级诊疗政策落地。尽管存在iOS端历史数据清理功能缺失等细节问题,但整体功能完整性、数据安全性与用户体验已达到行业领先水平。对于影像科医生、临床医师及医疗管理者而言,这是一款不可或缺的移动工作利器,值得长期使用与深度探索。
























