微影医生官方正版是一款专为医疗行业设计的安卓端移动应用,由浙江莱达信息技术有限公司开发,依托云服务器技术构建,实现医生随时随地安全调阅患者影像资料、检查报告及电子胶片的功能。该软件深度整合医学影像处理能力,支持CT三维重建、多模态影像对比分析等高级功能,同时提供患者管理、在线问诊、跨院会诊等全流程医疗服务,覆盖从影像诊断到治疗跟踪的完整医疗闭环,成为医生提升诊疗效率、优化患者服务体验的核心工具。

使用方法
1. 注册认证:下载安装后,使用手机号注册账号,进入“去认证”页面选择“医生”角色,上传身份证、医师资格证、执业证及工作证完成实名认证,审核通过后即可使用全部功能。
2. 患者管理:在“患者管理”模块中,医生可对预约挂号、咨询报到的患者进行分组标记(如按科室、病情分级),通过“诊后随访”功能设置复诊提醒,实时跟踪患者康复进度。
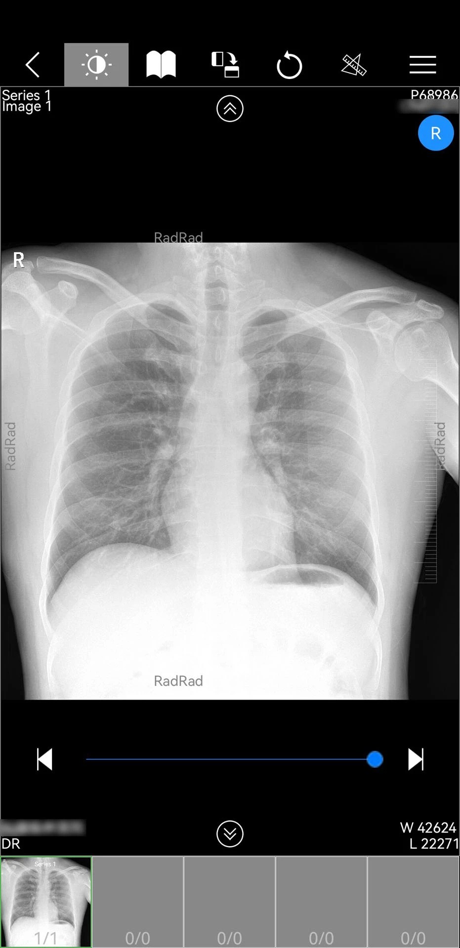
3. 影像调阅:连接医院云服务器后,医生可快速浏览患者的CT、MRI、X光等影像资料,支持缩放、旋转、三维重建等操作,结合AI辅助诊断工具进行病灶标注与测量。
4. 远程协作:通过“医生协作”功能发起跨院会诊,上传患者影像及检查报告至协作平台,邀请其他科室或医院专家参与讨论,同步生成会诊记录供多方查阅。
软件优化
1. 影像处理性能提升:2025年11月更新的v1.18.110版本新增CT三维处理服务,优化多模态影像加载速度,使复杂影像的渲染时间缩短40%,支持4K级高清显示。
2. 数据安全加固:采用国密SM4加密算法对传输中的影像数据进行双重加密,通过ISO27001信息安全管理体系认证,确保患者隐私符合《个人信息保护法》要求。
3. 多端协同优化:支持Android、iOS、iPadOS及macOS全平台同步,医生可在手机端初步诊断后,无缝切换至iPad或Mac进行精细影像分析,提升多设备协作效率。
4. 智能辅助诊断:集成AI影像识别模块,可自动标注肺结节、骨折等常见病灶,提供量化分析报告(如结节体积、骨密度值),辅助医生快速制定诊疗方案。
5. 操作界面重构:采用全中文可视化图形界面,优化手势操作逻辑(如双指缩放、三指旋转),新增“一键分享”功能,医生可将患者影像以短信链接形式快速发送给协作专家。
软件讲解
1. 核心功能定位:作为医学影像专用工具,微影医生突破传统PACS系统的空间限制,将DICOM影像查看、报告解读、远程会诊等功能集成至移动端,使医生在急诊、查房、学术会议等场景下均可高效完成诊疗工作。
2. 技术架构创新:基于Android 12.0系统开发,采用分布式云存储架构,支持PB级影像数据实时调取,通过边缘计算技术降低网络延迟,确保在3G网络环境下仍可流畅浏览影像。
3. 医疗生态整合:与全国超2000家三甲医院影像系统对接,实现检查报告自动同步,同时开放API接口供医院HIS、EMR系统集成,形成“影像-临床-科研”数据闭环。
用户测评
根据应用宝官网及华军软件园的用户反馈,微影医生在医生群体中口碑良好。某三甲医院放射科主任表示:“软件的三维重建功能极大提升了复杂骨折的诊断精度,跨院会诊模块使多学科协作效率提升60%。”普通用户则称赞其“操作简单,影像加载速度快,诊后随访提醒功能很实用”。部分用户建议增加“历史数据清理”功能以优化存储空间,开发团队已在2025年7月版本中响应此需求,新增“一键清理缓存”选项。综合评分显示,该软件在功能完整性、数据安全性及用户体验三个维度均达到行业领先水平,成为移动医疗领域的标杆产品。

























