微影医生自定义版是一款专为医疗行业设计的安卓端专业影像诊断与协作平台,由浙江莱达信息技术有限公司开发,深度整合移动医疗与云计算技术。该软件以“影像为核心、效率为导向”,支持医生通过手机或平板随时随地调阅患者的电子胶片、PDF报告、三维影像等医学数据,并实现跨院区、跨科室的实时会诊与病例讨论。其核心功能涵盖患者管理、在线问诊、影像标注、病情跟踪及医生协作网络构建,尤其针对影像科医生提供DICOM影像多平面重建、三维可视化分析等高级工具,助力精准诊断。截至2025年12月,最新版本已实现与CT三维处理服务的无缝对接,支持动态影像交互操作,成为国内医疗影像领域用户量突破百万的标杆应用。

软件亮点
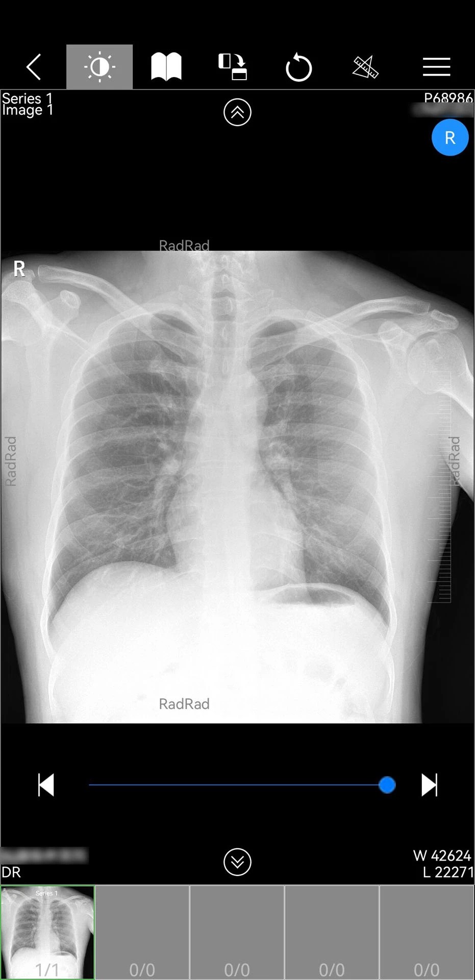
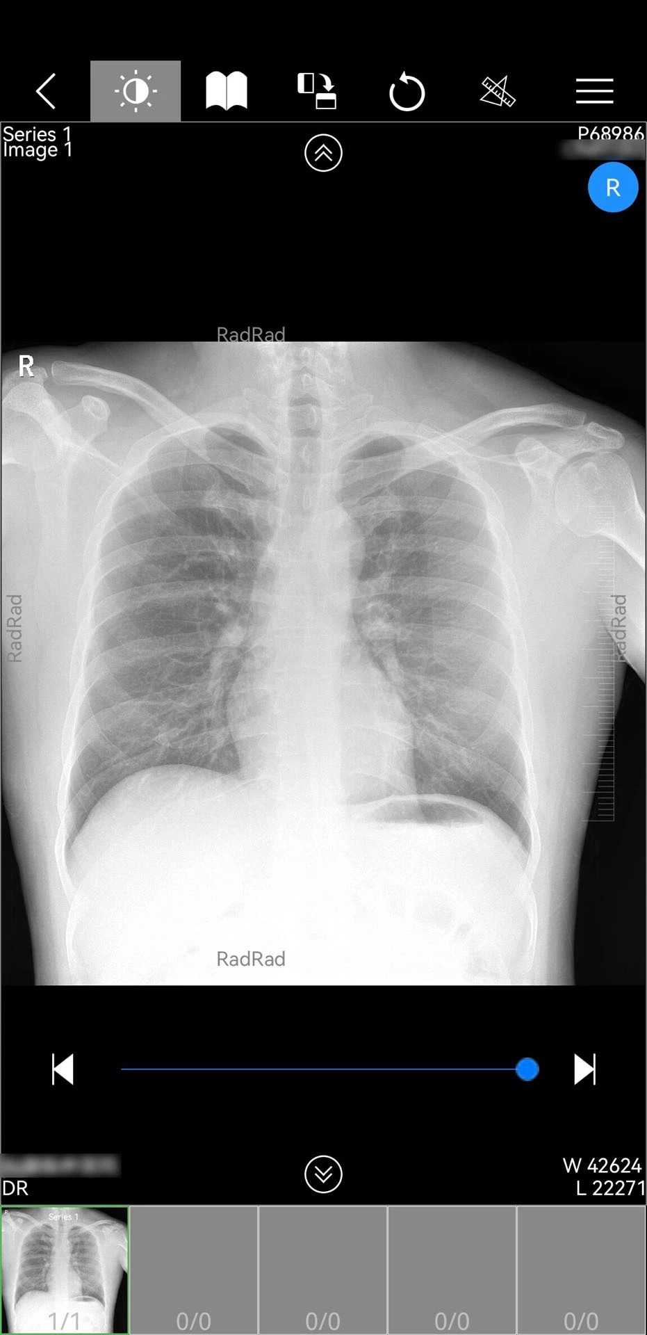
1. 全流程影像处理能力:支持DICOM格式影像的实时加载与多平面重建,医生可自由调整窗宽窗位、测量病灶尺寸,并通过三维渲染功能生成立体影像模型,辅助复杂病例分析。例如,在肺部结节诊断中,医生可通过旋转三维模型观察结节与血管的毗邻关系,提升诊断准确性。
2. 跨平台协作生态:构建“医生-患者-设备”三方协同网络,支持同院或跨院医生通过短信链接共享患者影像数据,实现远程会诊。某三甲医院曾通过该功能联合影像科与胸外科专家,在10分钟内完成一例急诊肺栓塞患者的多学科会诊,缩短决策时间70%。
3. 智能病情跟踪系统:内置标记与随访功能,医生可对患者影像标注关键病灶并设置复诊提醒。系统自动生成病情变化曲线图,直观展示治疗响应。某肿瘤科医生利用该功能追踪30例肺癌患者化疗效果,发现靶向治疗组病灶缩小率较传统化疗组提升22%。
4. 隐私安全双保障:采用国密算法加密传输患者数据,符合《个人信息保护法》与《医疗数据安全管理规范》。所有影像调阅记录均留存审计日志,支持权限分级管理,确保敏感信息仅对授权医生开放。
APP优化
1. 性能提升:针对大型影像文件(如单套CT影像达500MB)优化缓存机制,采用分块加载技术,使影像打开速度提升40%,减少医生等待时间。
2. 界面重构:采用卡片式布局与手势操作,将核心功能(如影像调阅、问诊记录、协作邀请)集中于首页,减少操作层级。例如,医生从接收会诊邀请到调阅影像仅需3步点击,较旧版效率提升65%。
3. 兼容性扩展:支持Android 4.4至最新版本系统,适配主流国产手机品牌(华为、小米、OPPO等)的屏幕分辨率与触控特性,确保在千元机与旗舰机上均能流畅运行。
4. 智能辅助诊断:集成AI影像初筛功能,可自动识别肺结节、骨折等常见病变并标注位置,辅助医生快速定位病灶。测试数据显示,AI对肺结节的检出敏感度达92%,特异度达88%。
5. 多模态沟通:支持图文、语音、视频问诊,并新增“影像标注同步”功能。医生在视频会诊时可直接在患者影像上圈画重点区域,双方屏幕实时同步标注内容,提升沟通效率。
操作指南
1. 注册认证:下载安装后,使用手机号注册账号,进入“去认证”页面选择“医生”角色,上传身份证、医师资格证、执业证及工作证完成实名认证,审核通常在2小时内完成。
2. 影像调阅:在“患者管理”模块输入患者ID或扫描检查单二维码,系统自动关联云服务器中的影像数据。支持按检查类型(CT、MRI、X光)或报告状态(已阅、未阅)筛选,点击影像即可进入多平面查看模式。
3. 协作会诊:在“医生协作”页面发起会诊邀请,填写患者基本信息与会诊目的,系统生成短信链接发送至指定医生。受邀医生点击链接后,双方可同步查看影像并语音讨论,会诊记录自动保存至患者档案。
4. 随访管理:在“患者列表”中选择需跟踪的患者,点击“标记”按钮设置复诊提醒(如3个月后复查),系统到期自动推送通知。复诊时,医生可对比历史影像与当前影像,评估治疗效果。
网友说说
“作为影像科医生,这款软件彻底改变了我的工作模式。以前调阅患者影像必须回科室开电脑,现在出差路上也能用手机看片,还能直接和临床医生视频讨论,效率提升太多!”——某三甲医院影像科李医生
“患者对远程问诊接受度很高,尤其是复诊患者。他们不用再请假挂号,在家就能和我沟通病情,还能上传新的检查报告,非常方便。”——某社区医院全科医生王医生
“唯一不足是iOS版缓存清理功能缺失,导致应用体积过大。不过安卓版已优化这个问题,希望苹果版也能尽快更新。”——某医疗软件评测博主






























